
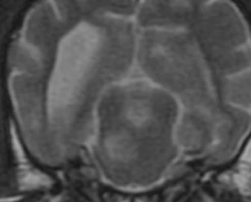
Case: Yorkie with head tilt
8 yr MC Yorkshire Terrier with progressive ataxia

Term: Dysphonia
Most commonly caused by diseases affecting the...

Term: Cerebral perfusion pressure
Pressure gradient between systemic mean arterial blood pressure (MAP) and...

Term: Bruxism
Bruxism is defined as unconscious grinding of the...

Term: Arbor vitae
White matter tracts of the...

Localize: Sloppy eating Shih Tzu mix
5yr Shih Tzu mix with sloppy eating and drinking

Quiz: Can you hear me now?
5 questions about hearing and deafness

Localize: Belgian Tervuren with thoracic limb lameness
11-year-old spayed female Belgian Tervuren referred for evaluation of thoracic limb lameness

Term: Trismus
Reduced opening of the jaw due to...

Case: French Bulldog with head tilt & ataxia
Left head tilt, ataxia, and previous history of optic neuritis

Term: Stupor
Level of consciousness in which the patient is non-responsive except to...

Localize: Circling & ataxic Golden
/
2 Comments
2yr MC Golden with acute onset of circling, leaning to the left, and lethargy
